審美歯科
当院の審美歯科の特徴

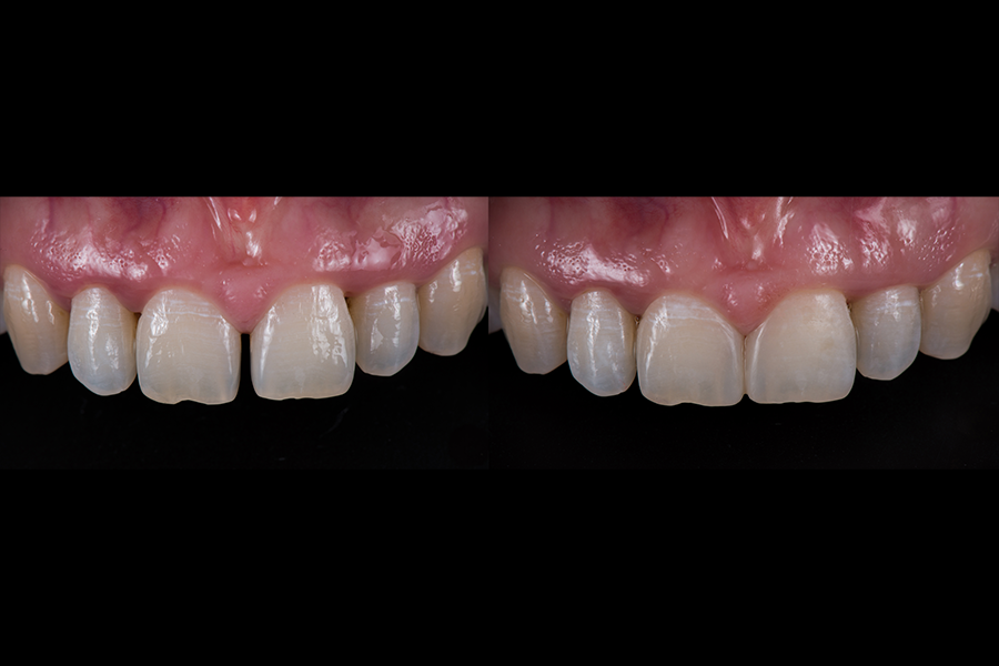
患者様へのカウンセリングを
もとに見た目と機能性を
両立した選択
審美性だけを追求すると、割れやすい、噛みにくい、長持ちしない等の問題が生じることがあります。カウンセリングをもとに美しさと機能性の両立を実現する治療を重視します。
マイクロスコープを用いた
精密な形成・接着
セラミック治療の成功には細部の精度が大きく関わります。最大20倍まで拡大し、精密に治療を行います。
口腔内スキャナーで
精密・負担の少ない印象採得
3Dスキャナーで精密に型採りを行います。嘔吐反射の方もストレスが少なく、再現性の高い補綴物を製作できます。
被せ物の種類
インレー
小~中程度の歯の欠損部分を修復するための詰め物です。
樹脂(コンポジットレジン)では強度が不足する場合に適応となります。
種類には、ゴールド、セラミック(e-max)、ジルコニアがあります。

クラウン
虫歯や破折などにより広範囲に欠損した歯や、根管治療後に土台を立てた歯に対して、歯全体を覆う(王冠のように被せる)治療方法です。
噛み合わせや見た目の回復を目的とします。
種類には、ゴールド、セラミック(e-max)、メタルボンドセラミック、フルジルコニア、ジルコニアボンドセラミックがあります。

ブリッジ
失った歯の隣在歯を部分的、全部的に削り土台として橋のように人工の歯を固定する方法です。
義歯とは違い固定式のため違和感少なく、自然に噛むことができます。

補綴物の種類
オールセラミック
| 素材 | セラミック |
| 適応 | インレー・クラウン |
メリット
- 天然歯にかぎりなく近い色なので目立たない
- 金属アレルギーの心配がない
- 生体親和性に優れている
- 変色がない
- プラークが付着しにくく虫歯になりにくい
デメリット
- 強い衝撃で割れる可能性
フルジルコニア
| 素材 | 酸化ジルコニウム (人工ダイヤモンドにも使用される高強度素材) |
| 適応 | インレー・クラウン(小臼歯大臼歯)・ブリッジ |
メリット
- 強度、耐久性が高い
- 審美面も良好
- 生体親和性に優れている
- プラークが付着しにくく虫歯になりにくい
- 金属アレルギーの心配がない
- 変色しにくい
デメリット
- オールセラミックと比較すると透明感に劣る
- 過度な衝撃で割れる可能性
- 噛み合わせや歯ぎしりによって対合歯を摩耗させる可能性
メタルボンドセラミック
| 素材 | 金属・セラミック |
| 適応 | クラウン・ブリッジ |
メリット
- 強度がある
- 仕上がり精度が高く、適合が良い
- 歴史が長く、世界的で実績のある素材
- セラミックと同様のメリットを兼ねつつ歯根破折のリスク回避
デメリット
- 金属フレームのため歯肉退縮で境目が黒く見える可能性
- オールセラミックよりは透明感に劣る
- 金属アレルギーの可能性
ジルコニアボンドセラミック
| 素材 | 酸化ジルコニウムフレーム・セラミック |
| 適応 | クラウン・前歯ブリッジ |
メリット
- ジルコニアのメリットを兼ねつつセラミックの透明感で審美面で優れている
デメリット
- 過度な衝撃で割れる可能性
ゴールド
| 素材 | ゴールド |
| 適応 | インレー・クラウン・ブリッジ |
メリット
- 生体親和性が高い
- 適合が非常によく、2次虫歯なりにくい
- 天然歯に近い硬さで対合の歯を保護できる
- 耐久性に優れている
デメリット
- 審美面が良くない
- 金属アレルギーの可能性は極めて低いが0ではない
セラミックについて

上質なセラミックによる審美治療
見た目の改善を重視する審美治療では、「セラミック」による詰め物、被せ物が主流となっています。上質なセラミックは自由診療(保険適用外)の治療となりますが、保険適用の材質よりも天然の歯に近い色を出すことが可能です。
患者さまのご希望に合わせたご提案をしておりますので、ご興味のある方はお気軽にご相談ください。
ダイレクトボンディング
治療

ダイレクトボンディング治療とは
型を採って詰める間接修復の詰め物と比較すると歯の削る量を少なくしながら、専用の高品質レジン(樹脂)を直接盛り付けて形や色を整える審美内容を含めた修復治療です。
ダイレクトボンディング治療の
特徴
- 歯を削る量が最小限で、歯への負担が少ない
- 1回の来院で仕上げることができ、通院の負担を少なく済みます
- 金属を使用しないので、金属アレルギーの心配がありません
保険治療と自費治療の違い
保険診療のレジンは色調や質感に限界があります。強度も標準的で経年的に変色する可能性が高いです。
比べて自費のレジンは複数の色や透明度を使い分けられる高品質レジンを使用します。審美性・強度・耐久性に優れ、自然な仕上がりが可能です。
ダイレクトボンディング治療の
メリット
強度、耐久性、審美性に
優れている
強度的かつ審美的にも優れています。天然歯に近い透明感、質感、立体感まで再現できます。
治療にかけられる時間の違い
自費の診療になるため時間に制約なく、細部まで丁寧に仕上げることが可能です。
来院回数を減らせる
一般的には虫歯除去、型採り、詰め物セットの3回の流れが必要になります。欠損具合や症状によりますがダイレクトボンディングでは基本的に1回の治療で終了できます。(30分~60分/1歯)
ダイレクトボンディング治療の
デメリット
セラミックと比べると変色、
摩耗しやすい
コーヒーなどの嗜好品、喫煙により経年的に色調変化が生じることがあります。
強い衝撃で欠ける可能性
歯ぎしりや食いしばりが強い場合、破折・脱離の可能性があります。
適応できる症例に限りがある
大きな欠損や強度が必要なケースでは型採りをして間接的に修復の必要があります。
ダイレクトボンディング治療で
よくあるご質問
Q. 前歯のすき間を
ダイレクトボンディング治療で
治せますか?
A. 小~中程度の範囲なら可能です。
Q. かけた歯を
ダイレクトボンディング治療で
治せますか?
A. 小~中程度の範囲なら可能です。
Q. ダイレクトボンディングと
一緒にホワイトニングも
したいです。
A. まずホワイトニングを行い色調が整った上で、ダイレクトボンディングを行うと審美的に綺麗です。
Q. ダイレクトボンディングは
どのくらいの時間が
かかりますか?
また、何回通院する必要が
ありますか?
A. 30~60分です。通院回数は基本1回です。(虫歯、欠損具合、症状による)
Q. ダイレクトボンディングで
治療した歯を将来セラミックで
治すことはできますか?
A. できます。期間は数か月~1年以内です。ケースによりますがダイレクトボンディングの費用を相殺して行います。