歯周病治療
歯周病治療について

当院の歯周病治療の特徴
歯茎の腫れや出血等の症状だけでなく歯周病菌の原因となる細菌や生活習慣を分析し根本から改善を目指します。
マイクロスコープや拡大鏡を活用し、精密に歯石やプラークを除去、再発のリスクを減らし治療精度を高めます。
歯周病治療の診療方針
基本検査の結果をもとに歯周ポケットが深い、歯周ポケット内に歯石を確認した場合は一般的なクリーニングの延長で徹底的なクリーニング(SRP)や自費診療になりますが再生療法にも対応します。
歯周病症状の段階について
軽度歯周病
歯ぐきが赤くなったり、ブラッシング時に出血が見られることがありますが、歯の動揺や大きな腫れはありません。痛みはほとんどなく、むず痒いような感覚を覚える程度です。そのため日常生活への支障はほぼなく、症状が軽いために発症に気づきにくい段階です。

中等度歯周病
見た目としては、歯ぐきの腫れや赤みがはっきりしてきて、歯と歯の間が広がり、食べ物が挟まりやすくなります。また、口臭が気になることもあります。
痛みについては、噛んだときに違和感や軽い痛みを感じるほか、歯ぐきを押すと痛みがあり、出血が増える傾向があります。
日常生活では、固いものなどをしっかり噛めない場面が増え、口臭や歯の間の詰まりが気になり、ストレスを感じやすくなります。

重度歯周病
見た目としては、歯ぐきの大きな腫れや下がりが見られ、歯の顕著な動揺や排膿が生じます。
痛みは強く、疼くような自発痛が生じ、噛むと鋭い痛みを感じます。
日常生活においては、固いものが噛めなくなるほか、口臭が気になり、歯が抜けそうな不安から噛み合わせをかばうようになり、生活の質が大きく低下します。

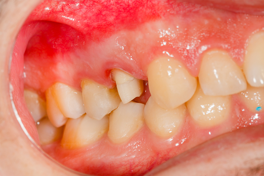
歯周病・歯肉炎

歯周病とは
歯周病は、歯ぐきや歯を支える歯槽骨が炎症を起こし、徐々に壊されていく病気です。お口の中の細菌がつくるプラーク(歯垢)が原因となり、歯ぐきの腫れや出血を引き起こします。
さらに進行すると歯槽骨が溶け、歯が動揺し、最終的には抜歯に至ることもあります。歯周病は、日本人が歯を失う原因の第一位とされています。
歯肉炎とは
歯肉炎は歯周病の初期段階で、歯肉に限局した炎症が起こる状態です。進行すると炎症が歯槽骨にまで及び、歯周病へと移行します。
歯周病になりやすい方
- 歯磨きが不十分な方
- 喫煙習慣がある方(歯肉の血流が悪くなり、抵抗力が低下します)
- 糖尿病をお持ちの方(免疫力が低下し、歯周病との関係が大きいとされています)
- ストレスや睡眠不足が続いている方
- 口呼吸の習慣がある方(口の中が乾燥し、細菌が増えやすくなります)
- 歯列不正がある方(叢生により磨きにくい、部分的に過度な噛み合わせ「咬合性外傷」が生じやすい)
- 遺伝的な要因がある方
歯周病と全身疾患の関係
歯周病は、糖尿病、心筋梗塞、脳梗塞、早産・低出生体重児、誤嚥性肺炎、関節リウマチなど、さまざまな全身疾患と関係していることが分かっています。特に妊娠中は、早産や低出生体重児のリスクを下げるためにも、口腔内のケアが重要です。
また、歯周病の治療や予防を行うことで、血糖コントロールの改善につながることもあります。
保険治療と
自費治療の比較

保険治療の場合
検査内容・検査方法
- レントゲン
- 歯周ポケット検査(4点法)
- 染め出しによるプラーク付着の確認
治療方法・治療期間
スケーリングは、口腔内環境が良好な場合、1回あたり30〜60分程度で行います。
縁下歯石や歯肉の腫脹が認められる場合はSRPを実施し、ブロックに分けて治療を行います。
治療期間はおおよそ1〜3か月です。
保険治療の限界や制限
- 治療できる範囲や内容があらかじめ決まっている
- 毎月の頻繁な検査や、全顎に対する一度でのスケーリングは行えない
- 1回は初診としての受診が必要
- エアフローによるプラークや着色の除去、歯肉マッサージなどは対象外
自費治療の場合
検査内容・検査方法
- CT撮影を行い、骨の欠損状態や歯根の形態まで精密に把握
- 歯周ポケット検査(6点法)の実施
- 顕微鏡下・拡大鏡下による、精密な検査およびクリーニング
- スキャナーを用いて、口腔内の状態を精密に記録
治療期間
歯周病の自費治療では、1回60〜90分の短期集中治療を行い、月1回のメンテナンスが可能です。
治療内容と期間・費用の目安
保険治療の場合
軽度歯周病
1回の歯周ポケット検査、スケーリング、ポリッシングを行います。所要時間は30〜60分程度です。費用の目安は3,000円〜4,000円程度となります。
中等度歯周病
まず歯周ポケット検査、スケーリング、ポリッシングを行います。その後、数週間あけて歯周ポケットの再評価と再スケーリングを実施します。再度の検査で深い歯周ポケットが残る場合は、ブロックごとにSRPを行います。また、染め出しによる磨き残しのチェックを行い、TBIを実施します。
重度歯周病
保険治療による重度歯周病の場合は、中等度歯周病の治療内容に加えて、全顎的なSRPを行います。また、状態に応じて、保険内でのフラップ手術や自費による再生療法も行います。
自費治療の場合
軽度歯周病
CT撮影により骨の微細な変化を確認し、マイクロスコープ下での精密なクリーニングとTBIを行います。
中度歯周病
CT撮影を行い、マイクロスコープ下でのSRPを実施します。あわせて、部分的な骨再生療法を行います。
重度歯周病
自費治療による重度歯周病の場合は、CTによる精密検査を行い、マイクロスコープ下でのSRPを実施します。あわせて、全顎的な骨再生療法を行います。
歯周病の予防

歯科医院でできること
歯周病の予防では、歯科衛生士や歯科医師によるPMTCを行い、歯ブラシでは落としきれないバイオフィルムを徹底的に除去します。あわせて、ステインの除去やフッ素塗布を行います。
また、レントゲンやCTを用いることで、歯周病の早期発見につなげます。
さらに、噛み合わせの微調整を行い、咬合による歯周組織への負担を軽減することで、歯周病の予防に取り組みます。
「予防歯科」を詳しく見る
自宅でできること
- 正しい歯磨きによるセルフケア
- 歯間ブラシやフロスなどの補助清掃用具を使用する
- 舌清掃を行う
- 洗口液を使用する
- 食生活や睡眠時間を整える
- 禁煙を心がける
- 歯ぎしりや食いしばりがある場合は、マウスピースやナイトガードを使用する
歯周病の治療法

スケーリング
スケーリングとは歯の表面や歯茎の中に付着した歯石を専用の器具で取り除く処置です。
スケーリングの必要性
歯石は細菌のすみかになっています。放置すると歯茎の腫れ、出血、口臭を認め重症化すると歯槽骨の吸収、歯の動揺、抜歯に繋がります。
歯石は歯ブラシでは落とせないので歯科医院に受診する必要があります。
歯周組織再生療法

歯周組織再生療法とは
歯周再生治療は、歯周病によって失われた歯槽骨など、歯を支える組織を再び作ることを目指す治療です。
歯の痛みや歯肉の痛み、腫れ、出血、歯槽骨の吸収、歯の動揺といった自覚症状がある場合や、部分的な歯肉退縮による審美面の改善を行う治療です。
歯周組織再生療法の効果
歯槽骨の再生により、歯を残せる可能性が高まります。また、歯の動揺が減少することで、しっかり噛めるようになります。
さらに、歯肉弁移植を併用することで、下がった歯肉の回復が期待でき、審美面の改善にもつながります。
治療の特徴と流れ
まず従来の歯周病治療とTBIを行い、患者様のモチベーションを高め、セルフケアがしっかり行える状態を整えたうえで、再生療法を行います。処置後は、短いスパンで経過観察を行います。
歯周外科治療(フラップ手術)
フラップ手術は、歯ぐきを実際に開き、歯根に付着した縁下歯石や不良肉芽を直接取り除く治療です。
スケーリングやSRPでは届かない深部の汚れを直視しながら、確実に除去できる点が特徴です。
フラップ手術が必要となるケース
歯肉縁下に多くの歯石や不良肉芽が残っている場合や、4〜6mmの歯周ポケットが改善せず、慢性的な炎症が続いている場合に行います。初期治療で十分な効果が得られない中等度から重度の歯周病において、選択される治療です。
フラップ手術の効果
歯肉縁下の深部にある歯石や不良肉芽を除去することで、炎症が治まりやすくなります。また、歯周ポケットが浅くなり、細菌が溜まりにくい健康な歯周組織へと改善が期待できます。
治療の特徴と流れ
術前の準備・初期治療
まず歯周病の初期治療を行い、急性症状を鎮静化します。あわせてTBIを繰り返し行い、セルフケアの向上を確認します。

手術前検査
手術前に精密な歯周ポケット検査を実施し、CTにて歯根の形態や骨吸収の状態を確認します。

手術当日の処置
当日は局所麻酔を行い、歯肉を開いて深部の汚れを除去・洗浄します。必要に応じて、再生療法(エムドゲイン、リフィット)を併用します(自費診療メニュー)。

縫合
処置後は、歯ぐきを元の位置に戻し、数針縫合します。

術後のケア
数日以内に消毒を行い、1週間を目安に抜糸を行います。

治癒後の管理
治癒を確認後、メンテナンスおよび再評価へ移行します。
